Physical Address
304 North Cardinal St.Dorchester Center, MA 02124
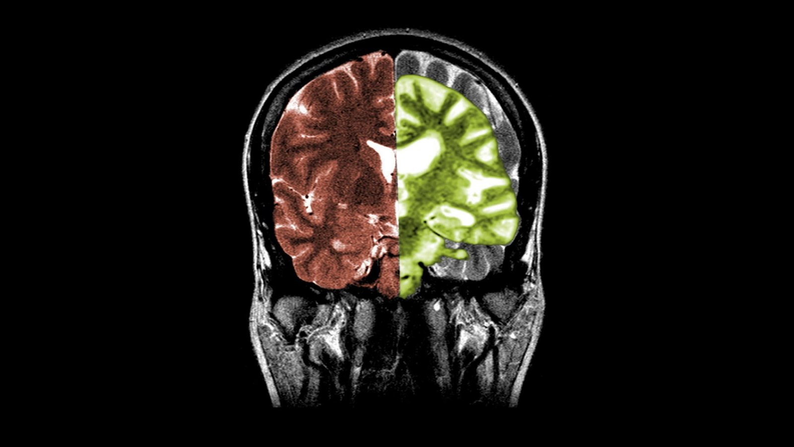
Hints to help large biological databases identify nervous diseases and fight
Your email address will not be published. Required fields are marked *
Name *
Email *
Website
Add Comment *
Save my name, email and website in this browser for the next time I comment.
Post Comment
Δ