Physical Address
304 North Cardinal St.
Dorchester Center, MA 02124
Physical Address
304 North Cardinal St.
Dorchester Center, MA 02124

All of us had a moment, when the solution to a problem suddenly became obvious. In cartoons, that Eureca feeling is usually depicted as the lightblob floating above a character’s head – which is not too far from what actually happens in the brain at these moments.
Researchers have revealed that epiphanges physically re -shape brain activity. What is even more, they have discovered that people remember Epiphani better than reaching a more systemic approach. These results can have a significant impact on how trainers go to the classroom teaching.
Duke’s psychology and neuroscience Professor Roberto Cabeza said at a university, “If you have something ‘ah! Moments’, it makes your memory almost double.” StatementThe “There are a few memory effects that are as strong as it” “
Cabeza is a senior writer Study Journal Nature published in Communications earlier this month. As soon as the study participants resolved the teasers of the brain, he and his colleagues recorded their brain activity with effective magnetic resonance imaging, at Strategy It measures changes in blood flow related to brain activity. The teasers of the brain were the visual fil-in-blank puzzle that the participants released the image before completing the image.

Although this national activity may seem childish, this small discover explains the “similar features that exist in more important insights events”. Once the participants thought they had solved a puzzle, the party asked them how sure they were about their solution, and whether they were suddenly reached (in an AHAE moment) or whether it was more intentionally implemented.
Overall, researchers have noted that the solutions of the participants who have reported Epiphanis were significantly better than them – and they would still want to remember it five days later.
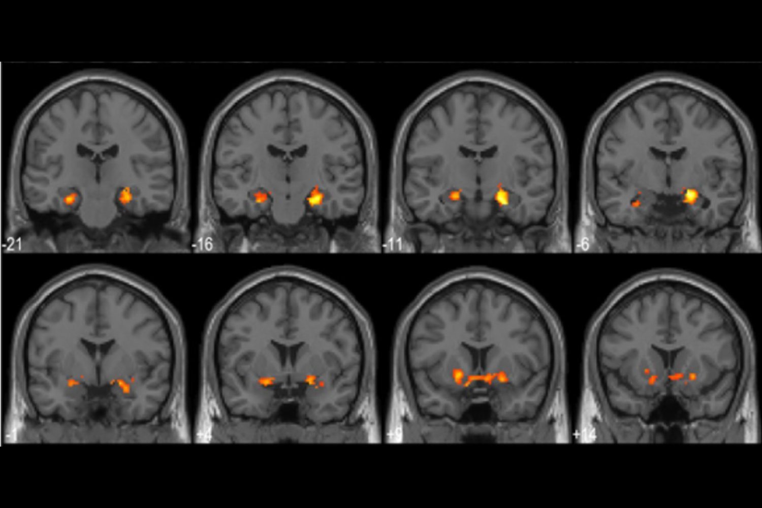
Effective magnetic resonance imagery shows that epiphanies explode in hippocampus, a part of the brain involved in learning and memory. The powerful moments of insights cause strong explosions of the activity. When the participants solve the puzzle and eventually recognize the secret object, the researchers also mentioned the change in the Neuron Firing Dynamics, especially in the Ventral OcePTo-Typoral Cortex region, which are involved in recognizing visual patterns. Similarly, the stronger the moment of insight, the more researchers have changed.
“During these moments of these insights, the brain re -organizes how it shows the image,” Maxi Baker, the first author of Humblet University study and a cognitive neurologist. Furthermore, researchers associated the more powerful epiphanic with more connections between those parts of the brain. “Different territories interact with each other more efficiently,” said the cabza.
As this, “the environment that encourages insight can enhance long -term memories and understanding,” researchers wrote in the statement. In this study, the team portrays the participants “ah” before and after the brain’s activity, which is moving forward, hoping to investigate what happens when the real magic happens.